ブログBlog

ブログ Blog
9歳の男の子「前歯の出具合が気になる…」
症例紹介
2025/12/25

学校検診で歯並びについて指摘を受けたことがある男の子です。
学校検診から1年後の定期検診の際、お母様が上の前歯の出具合(上顎前突ぎみ)を気にされており、矯正についてお話しすることになりました。
その結果、マイオブレースによる矯正治療を9歳でスタートすることになりました。
⭐️マイオブレース治療は成長期にしかできない治療ですので、早期に始めることがポイント


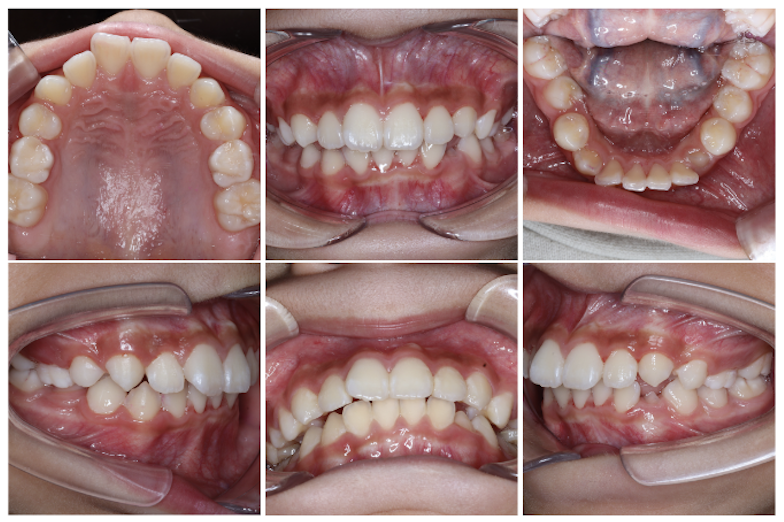
歯の重なりは少ないですが、オーバージェット(上の前歯と下の歯のすれ違い具合)が6.5mmありました。
理想的な数値はだいたい2〜3mm程度が目安となります。
この時点で、嚥下時に舌が前に出るなどの舌のクセ(舌癖)も確認されています。

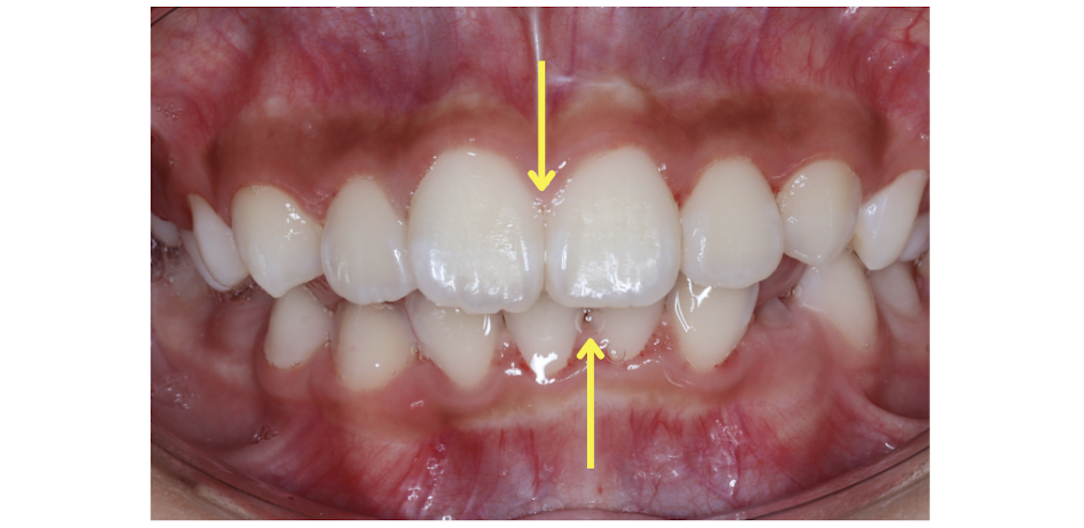
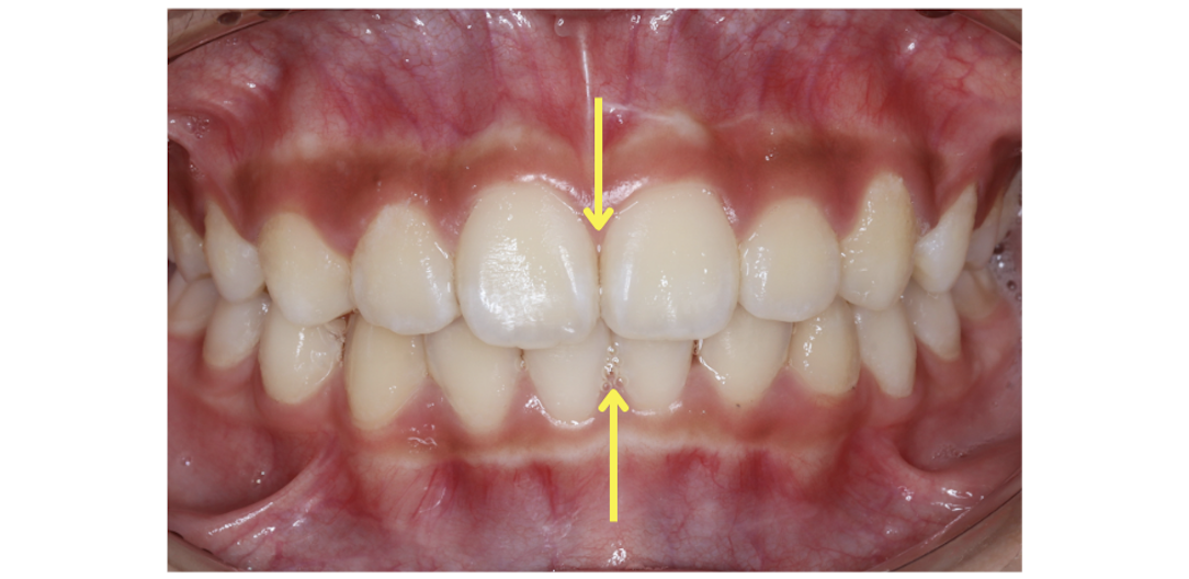
また、正中(上下の前歯の中心線)のズレも見られたため、こちらも改善を目指しました。


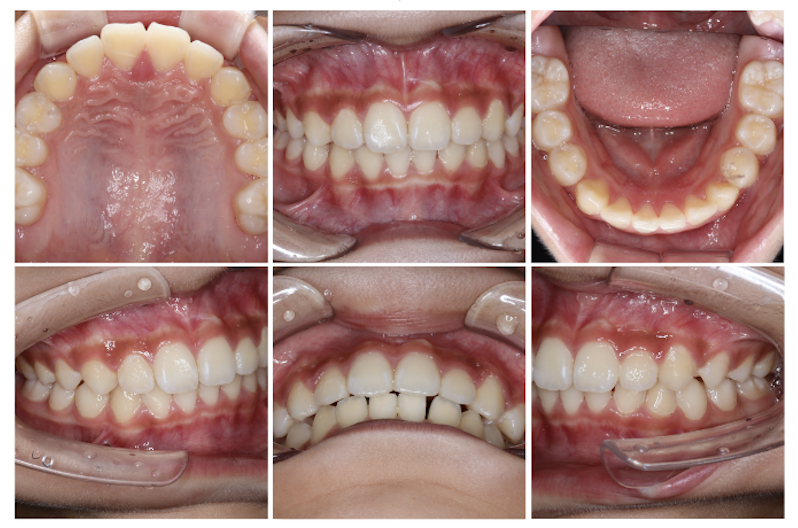
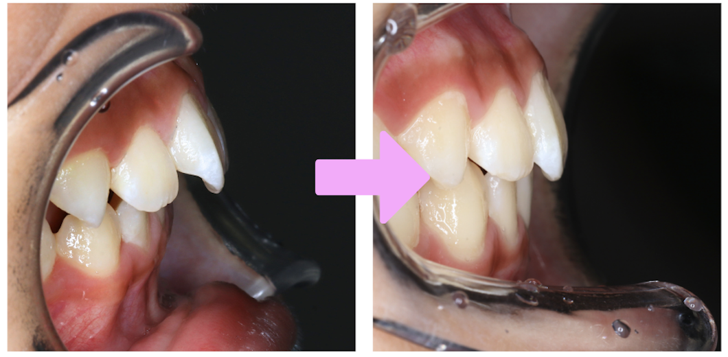
理想的なアーチ(U字)で歯が並んできています。

正中のズレも2mmから1mmの数値改善が見られました。
お母様が特に気にされていた前歯の出具合(オーバージェット)は、

7ヶ月で6.5mmから3.0mmの数値改善が見られました!

スタートしてすぐは、「昼間のマイオブレースの装着」や「アクティビィティの取り組み」に消極的でした。
しかし、徐々に昼間のマイオブレースの装着時間が長くなり、合わせて呼吸のアクティビティの練習をしてくれるようになりました!
そして、お子様ご本人・ご家族の取り組み効果のおかげで鼻呼吸が確立され、マイオブレースもしっかり朝まで装着できるようになりました。
このように鼻呼吸がしっかりと獲得できると、お口を閉じることが出来るようになり、外からの力が前歯の出具合に効果的です。また、口呼吸をしている間は舌を上顎につけようとしても落ちてしまいますので、鼻呼吸獲得後に舌のアクティビティに進みます。
舌のアクティビティは、舌を上顎の正しい位置に位置付け、上顎を刺激することで上顎の成長を促す効果があります。
こちらの男の子は噛み合わせも良くなってきているので、今後マイオブレースを卒業しても後戻りしないよう『自分自身の舌・唇が保定装置替わりになるから、アクティビティでしっかり定着させようね!』と伝えています。
※月に1回のご来院
※費用は44万円(税込)

今回のお子様のように、「前歯の出具合(オーバージェット)が気になる」というきっかけで矯正をはじめられるケースは多いです。
お子様の歯並びが気になる方は、歯科検診や小児矯正無料相談でお気軽にご相談くださいね。
マイオブレース治療は、装置の力だけでは必ず後戻りを起こしてしまうので、同時に口周りの筋肉を整えることがとても重要です。そのため、私たち歯科のサポートだけでなく、お子様ご自身の“がんばり”がとても大切です!
毎日のトレーニングを続ける努力、治療を見守り支えるご家族のサポートがあってこそ、素晴らしい成果につながります。
あなたへのおすすめ記事
-
-

- 歯科治療について
- 小児矯正はいつから始めるべき? ~後悔しないためのタイミングと考え方~
-
-
-

- 歯科治療について
- 赤ちゃんから始めよう!歯と骨の健康を守るフッ素
-
-
-

- 歯科治療について
- 子どもの歯がガタガタ…これって大丈夫?矯正は必要?と不安な親御さんへ
-
電話する
WEB予約


0798-65-5611
