小児矯正・マイオブレース

このぺージの目次
- こんな悩みはありませんか?
- 当院の強み
- 小児矯正・マイオブレース治療の症例
- なぜ歯並びは悪くなるの?
- 顎の成長時期
- 歯列不正のよくある例
- マイオブレースシステムについて
- 小児矯正・マイオブレースのメリット
- 装置・アクティビティの紹介
- 治療の流れ
- 料金表
小児矯正・マイオブレース
pediatric orthodontics・Myobrace
門戸厄神で小児矯正・マイオブレースなら
中津浜デンタルクリニック・こども矯正歯科にお越しください。
中津浜デンタルクリニック・こども矯正歯科にお越しください。
-
- こんなお悩みありませんか?
お口がポカンと開いている唇がいつも乾燥しているしっかり眠れない姿勢が悪い風邪をひきやすい口臭が気になるいびきをかく食事中クチャクチャと音がする飲み込む時にお口に力が入る歯に隙間がない歯ぎしりをしている歯並びが悪い
-
- マイオブレース治療とは?
-
健康的で自然な発育を促し歯ならびをキレイに整えていく矯正システムです。お口の中に装着するマウスピース型装置を1日1時間と夜間就寝中に装着します。それに加えてアクティビティと呼ばれる患者専用の教育プログラムを行います。

- マイオブレース治療とは?
それ、マイオブレース治療で治せます!
当院の強み
Our hospital's strengths
また、近年増えている矮小歯や先天性欠損歯でお悩みのお子さまもトータルで考慮した上で、矯正の治療計画を立てることができるのも当院ならではであり、患者さまから大変嬉しいお声をいただいております。
小児矯正・マイオブレース治療の症例Case
Case1
Before
After

Case2
Before
After

Case3
Before
After

最新の症例一覧
Case1
Before
After

Case2
Before
After

なぜ歯並びは悪くなるの?
間違った呼吸・間違った舌の位置・間違った飲み込み方等の悪習癖を続けることで、歯並びは悪くなります。

(※1)※1 高木裕三、田村康夫、井上美津子、白川哲夫(編著).小児歯科学(第4版).東京:医歯薬出版,2011.
マイオブレースシステムについてAbout Myobrace
『Myobrace®️マイオブレース・システム』は、オーストラリアのDr.クリス フェレルによって開発されました。
1991年より歯科および医科の医療従事者に導入され、その後、世界各国へと広まり今は欧米やアジアなど100カ国以上の国々で治療が行われています。歯列不正の原因に対し子どもの成長期から治療するための筋機能装置として開発され、歯ならびの改善のほか、呼吸改善や睡眠改善など全身の健康においてもたくさんのメリットがあることで世界中から注目されました(※4)。
(※4)Myofunctional Research Co.公式ホームページより引用.
顎の成長時期 jaw growth period
● 上顎の成長のピークは5歳、そこから10歳ごろまで成長する
● この成長時期に小児矯正を行って顎を最大限に発育させることができると、将来立体的で素敵な顔貌が獲得できる
<スキャモンの成長曲線>

どの年代にどんな能力が発達するのかをグラフ化したものです。 神経系型の子どもの上顎骨は5,6歳まで急激に発達することがわかります。 また、6歳までに脳や神経系は80%成長すると言われています。この脳の活発な成長時期にしっかり鼻呼吸ができて全身の酸素量を多くすることが全身の健康につながっているということがよく分かります。(※2) このプレ・ゴールデンエイジの時期にマイオブレース治療を取り入れてあげると将来の健康にとても良い影響があります。
(※2)日本口腔保健協会公式HPより引用,
全身の健康と歯ならびの関係
鼻呼吸により気道が広がることで、脳への酸素供給量が多くなり、集中力・記憶力がUPします。酸素供給量が多くなると、夜間熟睡できるようになり、体がより成長します。成長する中で上顎の成長も促進され、顎が発達し、歯が並ぶスペースが確保されます。
鼻呼吸が良い理由
・空気が加湿され肺に届く
・ウイルスが鼻でブロックされ、風邪、インフルエンザ、アレルギー、花粉症、咳の予防
・二酸化炭素による酸素運搬が上昇し、基礎代謝が上がる
・鼻腔で一酸化窒素が生成され、気道が広がる
・いびきや無呼吸の恐れを減少させる
子どもの閉塞性睡眠時無呼吸症候群(OSA)
いびき・歯ぎしりの悩みをお持ちのお子さまも年々増えてきています。
今では小学生の25パーセントがいびきをかいていると報告があります。(※6)
指しゃぶりの影響
赤ちゃんの時の指しゃぶりは問題ないといわれていますが、3歳を過ぎてくると指しゃぶりが歯ならびに影響してくる可能性が高まります。指で上の前歯を前に押し、下の前歯を内側に押してしまうため、出っ歯で開咬(上の歯と下の歯が噛み合わない)になってしまいます。また、指を吸うことで頬の筋肉の力が上顎の骨を押してしまうため、上顎の成長が阻害され、狭窄歯列弓(V字形歯列弓)になり、歯が並ぶスペースがなくなってしまいます。
歯列不正のよくある例Examples of malaligned teeth
-
叢生(そうせい)
-
歯と歯が重なっている、カタカタしている

-
開咬(かいこう)
-
前歯が噛み合わない

-
過蓋咬合(かがいこうごう)
-
下の前歯がほとんど、あるいは全く見えない

-
上顎前突(じょうがくぜんとつ)/出っ歯
-
前歯が出ている

-
反対咬合(はんたいこうごう)/下顎前突・受け口
-
上の前歯より下の歯が出ている

特に!80歳までに歯が20本残る確率(※3)は
過蓋咬合・・・25%
出っ歯・・・17%
開咬・反対咬合・・・0%
と言われています。
将来歯を失ってしまい、入れ歯やブリッジ、インプラントの選択を迫られることに・・・
そうならないためにも!
マイオブレース治療で健康的に治しませんか?
『 推奨対象年齢は5~9歳』です。
顎の成長期に行うことで健康的で自然な歯ならび・顔貌を目指すことができます。
上あごの成長発達期間に治療を行うことで効果が発揮されます。歯ならびが悪くなる原因にアプローチし、根本的に治療するので後戻りも少ないことが特徴です。
本来子どもたちが持っている成長の力を最大限に引き出し、自然な成長へと導くことができます。
(※3)「8020達成者の歯列咬合の観察」(1999年:東京歯科大学 茂木悦子先生著)
小児矯正・マイオブレースのメリット merit
小学生のうちに治せます!
-
マイオブレース小児矯正のメリット
-
*痛みが少ない
-
*健康な歯を抜かない
-
*体の正しい発育を促す
-
*歯ならびを悪くする癖が治る
-
*後戻りが少ない
-
*取り外し式で清潔

- 従来の矯正
-
*痛みをともなう
-
*目立つ装置が多い*むし歯リスクがある*抜歯することがある*保定が必要*費用が高い

装置・アクティビティの紹介 introduction
マウスピース型の装置
マイオブレーストレーナーというマウスピース型の装置です。日中1〜2時間と就寝時に装置します。装置入れることによって口呼吸の防止や舌の突出防止、下唇圧や頬筋の圧から歯列を守ります。取り外し式の装置なので清潔に矯正を行うことができます。
アクティビティ
マウスピースの装着と並行して口腔筋機能療法(MFT)を行います。MFTは口呼吸や指しゃぶり、舌突出癖などの口腔習癖が原因の歯列不正に対する機能訓練です(※5)。マイオブレースシステムでは『アクティビティ』と呼ばれます。マイオブレースシステム独自の教育プログラムにそって進めていきます。お家で毎日5〜10分のアクティビティを行い、月に一度当院で専属の専任スタッフが指導を行います。
(※5)大野粛英、吉田康子、高見佐代子、入江牧子.マイオファンクショナル・セラピーの臨床.舌癖と指しゃぶりの指導.東京:日本歯科出版,1986.
治療の流れ Treatment flow
-
1.無料相談・カウンセリング
-
当院では小児矯正治療の相談を無料で行なっております。お子さまの歯ならびや噛み合わせでお悩みのことがございましたら、お気軽にご相談ください。お子さまにも理解できるようご説明します。
当院は、幅広い歯並び・かみ合わせの症例に対応している歯科医院です。早期治療が必要な場合にも対応可能ですので、健診でお子さまの歯並びを指摘された場合や、歯並びやかみ合わせが気になる場合は、お早めにご相談ください。

-
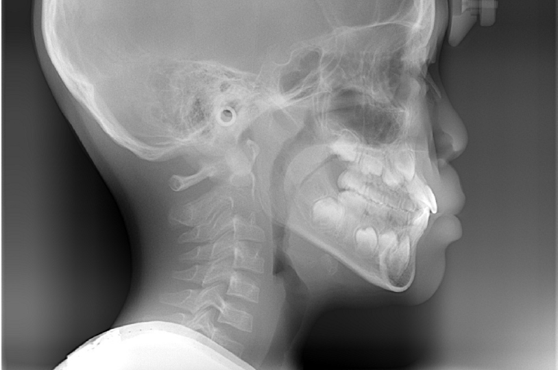
2.検査
-
レントゲン撮影や口腔内撮影、筋機能の検査などを行います。生え変わりの時期に行う小児矯正では、これから生えてくる永久歯の位置や顎の骨の形・大きさなどを把握することが大切です。当院ではセファロで精密な検査を行うことで、それらの情報を立体的に把握し、治療に取りかかることができます。

-
3.分析・診断
-
小児矯正では、お子さまのお口の中が常に成長を続けている段階であるため、生え変わりや顎の成長に合わせた計画的な治療が必要となります。
検査結果を分析後、お子さまのお口の成長に合わせ、それぞれの時期に適した矯正治療をご提案します。分析結果と治療計画は資料にまとめ、分かりやすくご説明します。

-
4.治療開始
-
毎日ご自宅で、日中1時間と就寝時に装置を使用していただきます。また約5分間のトレーニングを1日2回行っていただきます。
治療期間中は、月に1回ご来院いただき、チェックと指導を行います。(治療期間は約2〜3年間かかります。)
お子さまにあった矯正治療を専任エデュケーターがしっかりとサポートしながら、スタートいたします。

5歳までのお子さま
プレ・マイオブレース矯正治療を行います・・・本格的なマイオブレース治療を行う前段階として、装置の装着をメインとした矯正治療を行います。
5〜9歳までのお子さま
マイオブレース治療を行います・・・5~9歳は上顎骨が大きく成長する時期です。成長期の中でとても大切な時期で、治療の効果がもっとも出やすいです。この時期では、マイオブレース装置(マウスピース)とアクティビティ(筋機能訓練)を行います。
9〜12歳までのお子さま
マイオブレース治療を行います・・・この時期は上顎の成長がピークを迎えます。マイオブレース装置(マウスピース)とアクティビティ(筋機能訓練)に加え、拡大装置を併用することも多いです。
12歳以上のお子さま
マウスピース矯正(インビザライン矯正)を行います・・・永久歯が揃い、顎の成長も完了に近づきます。この時期からはインビザライン矯正という透明なマウスピースを用いて行う本格的な成人矯正をおすすめしています。
料金表
price
- マイオブレース基本治療料
- 7歳まで ¥440,000(税込)
8歳以降 ¥495,000(税込)
- 検査・診断料
- ¥16,500(税込)
- 毎月調整・指導料
- ¥5,500(税込)
(※6)学校保健会アンケート
小児矯正・マイオブレースのQ&A
「痛みはありますか?」
柔らかい素材のマウスピース型装置なので痛みはほとんどありません。
「期間はどのくらいかかりますか?」
お子さまの成長や取り組みによって違いますが、平均2~3年とお伝えしております。
「保定は必要ですか?」
歯に矯正力をかけない矯正システムなので、保定がほとんど必要ないことが最大のメリットの一つです。
「マイオブレースだけで矯正は終わりますか?」
マイオブレースシステムのみで治療が終了できるかはお子さまの顎や歯ならびによって変わりますが、適切な時期にしっかりと取り組むことができれば、大半のお子さまがマイオブレースシステムで治療を終了しています。しかし、マイオブレースシステム終了後に萌出した歯の歯ならびが気になったり、取り組みが不十分の場合は本格矯正のご提案をさせていただく場合がございます。
「周りから矯正していることが分かりますか?」
お家で夜間就寝時と日中1~2時間の使用のみですので、周りに分かることはありません。
「来院頻度はどのくらいですか?」
アクティビティの確認や装置のチェックで基本的に月に1回の来院をお願いしております。
「子どものときに矯正治療を受けさせるべきですか?」
お子さまのお口は成長過程にあります。歯並びやかみ合わせは大人になってから整えることもできますが、子どものときに行うことで得られるメリットがあります。顎の骨の成長を利用して矯正治療を受けることで、抜歯をせずに歯が並ぶスペースを整えたり、お口の機能を向上させたりすることができます。
「いつから矯正治療をスタートすればよいですか?」
歯並びやかみ合わせの状態によって、矯正治療をスタートすべき時期が異なります。たとえば、受け口の治療は早めの治療が適しています。症例によって、適切な治療の開始時期をお伝えしますので、お気軽にご相談ください。
注意点・リスク・副作用
リスク・副作用について
・治療の初期段階では痛みや不快感が生じやすくなりますが、1週間前後で慣れます。
・歯の動き方には個人差があるため、予想された治療期間より延長する場合があります。
・装置の使用状況や定期的な通院など、患者さまの協力程度で治療の結果や期間に影響します。
・拡大矯正装置装着時は、歯みがきがしにくくなるためむし歯や歯周病のリスクが高まります。
・歯を動かすことで歯根が吸収して短くなったり、歯ぐきが下がったりすることがあります。
・稀に歯が骨と癒着していて歯が動かなくなったり、歯の神経が障害を受けたりすることがあります。
・装置を外す時に、歯の表面に小さな亀裂が入る可能性や、補綴物の一部が破損する可能性があります。
・装置が外れた後に、保定装置を使用しないと後戻りが生じる可能性が高くなります。
・口腔筋機能療法の取り組みが不十分で悪習癖を改善できなければ後戻りするリスクがあります。
・矯正治療は一度始めると元の状態に戻すことは難しくなります。
マイオブレースは未承認医薬機器です
1.未承認医薬機器であること
マイオブレースは薬機法上対象外の医療機器です。 医療機器としての矯正装置に該当しないため薬機法上の承認を得ていません。 マウスピースに使用される材料そのものは薬事承認されておりますので、安全にご使用いただけます。
2.国内の承認医薬品等の有無
マウスピース型矯正装置はマイオブレースの他にも様々な種類があります。その中には、条件を満たして薬事承認されているマウスピース型矯正装置も国内でいくつか存在しています。
3.諸外国における安全性等に係る情報
マイオブレースは世界100ヵ国以上で矯正治療において使用されており、過去30年の同社研究結果において、顎の発育不全や悪い歯並びの原因治療に対し有効であることが証明されています。
4.入手経路等
マイオブレースはMyofunctional Research Company (MRC)より入手しております。
5.医薬品副作用被害救済制度について
医薬品副作用被害救済制度について万が一重篤な副作用が出た場合は、国の医薬品副作用被害救済制度の対象外となります。
注意点・リスク・副作用
リスク・副作用について
・治療の初期段階では痛みや不快感が生じやすくなりますが、1週間前後で慣れます。
・歯の動き方には個人差があるため、予想された治療期間より延長する場合があります。
・装置の使用状況や定期的な通院など、患者さまの協力程度で治療の結果や期間に影響します。
・拡大矯正装置装着時は、歯みがきがしにくくなるためむし歯や歯周病のリスクが高まります。
・歯を動かすことで歯根が吸収して短くなったり、歯ぐきが下がったりすることがあります。
・稀に歯が骨と癒着していて歯が動かなくなったり、歯の神経が障害を受けたりすることがあります。
・装置を外す時に、歯の表面に小さな亀裂が入る可能性や、補綴物の一部が破損する可能性があります。
・装置が外れた後に、保定装置を使用しないと後戻りが生じる可能性が高くなります。
・口腔筋機能療法の取り組みが不十分で悪習癖を改善できなければ後戻りするリスクがあります。
・矯正治療は一度始めると元の状態に戻すことは難しくなります。
マイオブレースは未承認医薬機器です
1.未承認医薬機器であること
マイオブレースは薬機法上対象外の医療機器です。 医療機器としての矯正装置に該当しないため薬機法上の承認を得ていません。 マウスピースに使用される材料そのものは薬事承認されておりますので、安全にご使用いただけます。
2.国内の承認医薬品等の有無
マウスピース型矯正装置はマイオブレースの他にも様々な種類があります。その中には、条件を満たして薬事承認されているマウスピース型矯正装置も国内でいくつか存在しています。
3.諸外国における安全性等に係る情報
マイオブレースは世界100ヵ国以上で矯正治療において使用されており、過去30年の同社研究結果において、顎の発育不全や悪い歯並びの原因治療に対し有効であることが証明されています。
4.入手経路等
マイオブレースはMyofunctional Research Company (MRC)より入手しております。
5.医薬品副作用被害救済制度について
医薬品副作用被害救済制度について万が一重篤な副作用が出た場合は、国の医薬品副作用被害救済制度の対象外となります。
この記事の編集、責任者は歯科医師の村田紗也子です。

電話する
WEB予約







0798-65-5611
