ブログBlog

ブログ Blog
噛み合わせが深い8歳の男の子「前歯の隙間が気になる…」
症例紹介
2026/02/26

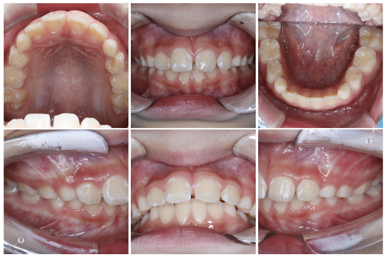
前歯のすき間(正中離開)を気にされていた親御様でしたが、定期検診の際に生え変わりとともに自然と閉じることもあることをお伝えしたところ、まずは経過を見ていくことになりました。
その後の定期検診で、過蓋咬合(上の前歯が下の前歯を深く覆いすぎてしまう噛み合わせ)が確認されたため、矯正についてお話しさせていただきました。その結果、マイオブレースによる矯正治療を8歳でスタートすることになりました。
⭐️過蓋咬合はそのままにしておくと歯や顎に負担がかかったり、歯がすり減りやすくなります



前回症例紹介させていただいた男の子同様、
歯の重なりは少ないですが、噛み合わせの深さ(オーバーバイト)が5mmありました。
理想的な数値はだいたい2〜3mm程度が目安となります。
検査時に、過蓋咬合であることが数値上でも確認できました。


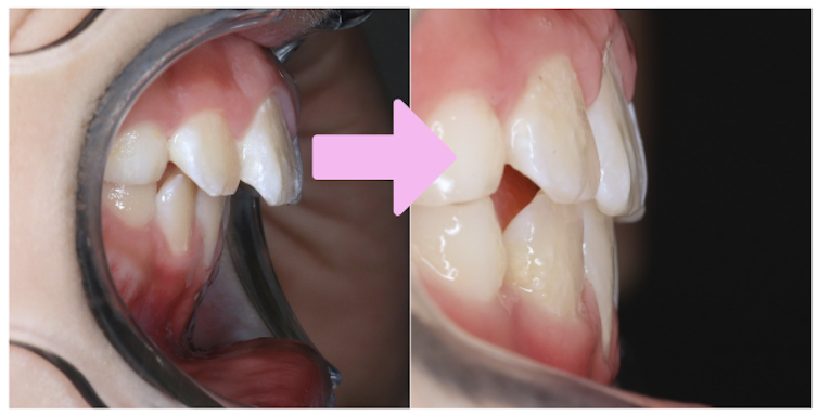
噛み合わせの深さ(オーバーバイト)は、スタートから4ヶ月で5mmから2mmの数値改善が見られました!
以降も取り組みを頑張ることで理想的な数値を維持できており、開始から1年2ヶ月経った現在の写真を見ても、噛み合わせが浅くなってきていることが分かりますね。
また、親御様が気にされていた前歯のすき間も閉じることができました。

前歯の出具合(オーバージェット)は、9ヶ月で6mmから2mmの数値改善が見られました!
現在は1.5mmまで数値改善されています。
お子様ご本人・親御様の頑張りが実を結び、素晴らしい経過となりました。

マイオブレース装置は、
・起きている時に装着することで意識的に正しいお口の使い方を学習
・寝ている時に装着することで無意識的に正しいお口の使い方を学習
することができます。
マイオブレース治療スタート時、起きている時に装着する時間を特に長くしていただくと、就寝時もマイオブレース装置を装着しやすくなります。
マイオブレース装置は理想的な歯列になるためのガイドもしますので、しっかり正しい使い方で週5日以上使用しましょうと指導しました。

また、トレーニング(アクティビティ)は鼻呼吸から始め、現在は舌を無意識に上げることができるよう舌を鍛えるアクティビティを行っています。
さらに日中の装置装着時間が短い日(1時間未満)が出てきましたので、1日合計1時間装着する日を増やすことを改めて目標に設定しました。
噛み合わせは良くなってきているので、今後マイオブレースを卒業しても後戻りしないよう『自分自身の舌・唇が保定装置替わりになるから、アクティビティでしっかり定着させようね!』と伝えています。
※月に1回のご来院
※拡大補助装置の使用なし
※費用は495,000円(税込)

当院では経過ごとに撮影した写真を比較して、ご来院時にご覧いただいています。
また、比較写真を当院診察券アプリからもご覧いただけるよう順次共有させていただいています。
今回症例紹介させていただいたお子様や親御様も、比較写真をご覧いただくことで努力の成果を目で確かめること出来、とても喜ばれていました。
平均2〜3年かかる治療のさらなる意欲にもつながっています。
マイオブレース装置の力だけでは、後戻りを引き起こす悪習癖を完全に治すことができないため、装置装着と同時にお口周りの筋肉を整え、正しくお口を使えるようにするトレーニング(アクティビティ)することがとても重要です。
そしてトレーニングは私たち歯科のサポートだけでなく、お子様ご自身の“がんばり”がとても大切です!
毎日のトレーニングを続ける努力、治療を見守り支えるご家族のサポートがあってこそ、素晴らしい成果につながります。
今回のお子様のように
「下の前歯が見えている長さが短いかも…」
「下の前歯が完全に上の前歯で隠れてしまっている…」
など、お子様の歯並びが気になる方は、歯科検診や小児矯正無料相談でお気軽にご相談くださいね。
あなたへのおすすめ記事
-
-

- 歯科治療について
- 赤ちゃんの歯科検診はいつから? 〜“お口の発育チェック”で歯並び予防〜
-
-
-

- 歯科治療について
- 仕上げ磨きはいつまで必要?嫌がる時の対処法
-
-
-

- 歯科治療について
- こどもの出っ歯、何歳から歯医者に相談すべき?
-
-
-
- 歯科治療について
- こどもの「いびき」だいじょうぶ?
-
電話する
WEB予約
0798-65-5611
